稳转细胞株构建服务
稳转株表达将外源 DNA 克隆到具有某种抗性的载体上,载体被转染到宿主细胞并整合到宿主染色体中,用载体中所含的抗性标志进行筛选。常用的真核表达载体的抗性筛选标志物有新霉素(neomycin)、潮霉素(hygromycin)和嘌呤霉素(puromycin),筛选得到可稳定表达目的蛋白质,或者稳定表达沉默特定基因的细胞株。稳定细胞株是适用于各种研究应用乃至工业生产,如重组蛋白和抗体的生产、基因编辑、功能性研究等。
稳定的哺乳动物细胞系是重组蛋白/抗体生产的首选,目前最常用的哺乳动物细胞是CHO细胞。首先CHO细胞易悬浮适应,便于放大工业生产;其次CHO细胞安全性能高,对人类病毒易感性低;再者CHO细胞无血清培养基的选择多,批次稳定性可控,实验重复性高;最后CHO细胞表达的蛋白与天然修饰蛋白相似度高,生物活性高。
服务优势

本公司已成功开发多种不同的过表达及报告基因细胞株产品,拥有丰富的构建经验;

在构建过程中使用了先进的细胞分选体系,最快可实现1周交付细胞株;

在蛋白表达和纯化深耕多年,可以为客户提供从表达到纯化全套定制方案;

在质量管理上,可提供详细全面的过程检测报告(COA)、细胞株构建报告等,便于客户决策与使用;

在售前售后保障上让客户更加省心省力,可提供实验解决策略并可为实验成功实施保驾护航。
稳转细胞株构建开发流程

4周

2周

2周

3周

2周
稳转细胞株构建定制
| 阶段 | 服务内容 | 周期 | 交付物 |
|---|---|---|---|
| 阶段1 载体构建 | 目的基因合成;密码子优化;表达载体构建(含测序验证) | 2-4 周 | 载体质粒 2 管;载体图谱;测序报告 |
| 阶段2 质粒转染 | 脂质体/电穿孔/高聚物介导的方式转染 | 1 周 | 转染后细胞池 2 管 |
| 阶段3 多克隆筛选 | 抗性筛选;产量检测与验证;Top3 细胞建库 | 6-8 周 | 实验报告;细胞池 2 管(106 cells / 管) |
| 阶段4 单克隆筛选 | 有限稀释法筛选单克隆;qPCR/WB 鉴定表达水平(2 个阳性克隆) | 6-7 周 | 单克隆株 3 管;表达鉴定报告 |
| 阶段5 稳定性验证 | 传代 3 代后表达稳定性检测;菌检 / 内毒素检测 | 3-5 周 | 稳定性报告;质检证书 |
| 阶段6 产量验证 | 阳性克隆蛋白表达 | 3-4 周 | 实验报告;质检报告;表达后的纯化蛋白 |
案例展示
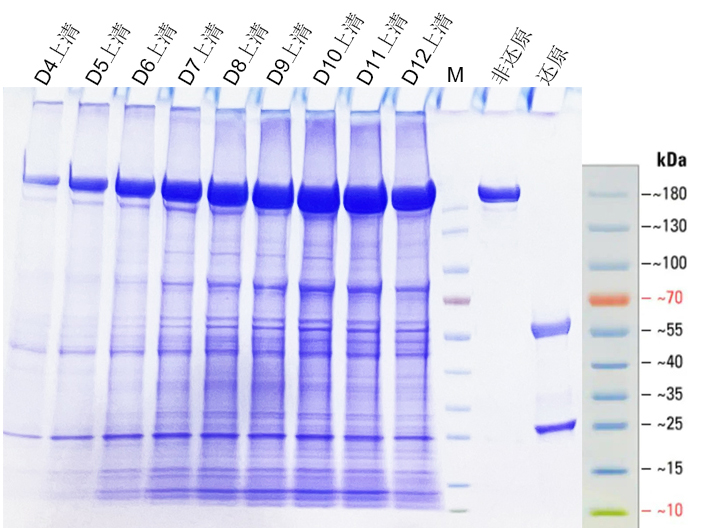
某抗体在瞬转阶段,表达量在20mg/L,高浓度(浓度≥3mg/ml)情况下会有少量沉淀出现。我们将目的序列构建至自主研发的GS稳转质粒上进行GS筛选,在短短的三个月内,表达量从20mg/L提升至1.5g/L级别,且稳定性得到提高。
GS筛选系统构建的抗体表达稳转细胞上清SDS-PAGE
立即咨询稳转细胞株构建服务
请填写以下信息,我们将在24小时内和您联系。

在线询价


