原核蛋白表达服务
原核表达纯化是一种利用E.coli系统通过基因克隆技术,将外源目的基因构建到原核表达载体中,并导入到表达菌株中,使其在大肠杆菌中高效表达和纯化目的蛋白的技术。E.coli具有生长速度快、表达周期短、表达量高、成本低等特点,是目前的表达系统之一。鸿蒙生物拥有丰富原核表达纯化经验,可以提供从序列评估、基因合成/转载体到蛋白表达纯化的一站式服务,满足客户不同种类的需求。
服务优势

基于独特的标签系统,可以制备无标签的重组蛋白,适用于动物免疫

丰富的蛋白纯化经验,不同的亲和标签选择,可以获得高质量的目的蛋白

成熟的包涵体复性技术,提高重组蛋白的成功率
原核蛋白表达纯化服务流程

需求沟通

签订合同

原核蛋白表达纯化

质量控制

分装发货
原核蛋白表达纯化定制
| 阶段 | 服务内容 | 周期(天) | 备注 |
|---|---|---|---|
| 阶段1 | 转载体/基因合成 | 7-10 | 客户提供模板/基因序列,本公司提供表达载体。 |
| 阶段2 | 小量表达分析蛋白可溶性 | 3-4 | 质粒转化,50ml 小体积表达,电泳检测,分析表达量,如蛋白可溶提供 20μg蛋白。 |
| 阶段3 | 放大表达 | 14-21 | 根据小试结果进行大体积放大制备。 |
起始样本:
1.目的基因序列信息。
2.目的基因模板质粒:提供1-5μg质粒,抗性信息。
3.目的基因模板新鲜菌液/甘油菌:确保菌的活性、无污染,抗性信息。
案例展示
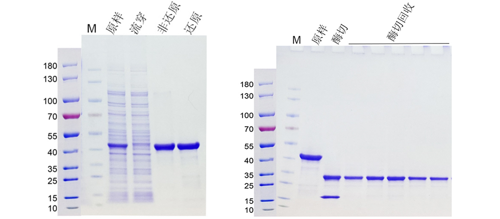
蛋白原核表达后多步骤纯化得到含有sumo标签的蛋白,再通过sumo蛋白酶去除标签后得到无标签的蛋白,SDS-PAGE电泳结果显示目的蛋白纯度≥95%。
图1.蛋白含sumo标签的SDS-PAGE 图2.蛋白去除sumo标签的SDS-PAGE
立即咨询原核蛋白表达服务
请填写以下信息,我们将在24小时内和您联系。

在线询价


