哺乳动物细胞表达服务
哺乳细胞表达系统分泌表达的蛋白会经过多种翻译后修饰,使重组蛋白更接近于天然的构象,更有利于获得与天然分子相同活性的目的蛋白;哺乳动物细胞表达蛋白还有利于热源的控制,同时可以对一些膜相关蛋白进行制备。
服务优势

为客户评估和设计蛋白表达方案,提供蛋白表达和纯化成功率

悬浮表达体系大大提高了细胞密度,通过自主开发的真核细胞表达载体能够获得高产蛋白,且内毒素含量低,非常适用于动物实验

自主开发的双标签纯化体系能够通过温和洗脱的方式获得高活性、高纯度的蛋白

基于独特的表达和纯化体系,可以制备无标签的重组蛋白,适用于动物免疫

含有各种亲和填料,适用于不同标签、不同形式蛋白的纯化
哺乳动物表达服务流程

需求沟通

签订合同

原核蛋白表达纯化

质量控制

分装发货
哺乳动物细胞表达定制
| 阶段 | 服务内容 | 周期 | 备注 |
|---|---|---|---|
| 阶段1 | 转载体/基因合成 | 7-10天 | 客户提供模板/基因序列,本公司提供表达载体。 |
| 阶段2 | 小量表达和分析鉴定 | 7-10天 | 质粒小量抽提,鉴定,转染,电泳检测,分析表达量。 |
| 阶段3 | 程瓶放大纯化制备 | 7-10天 | 交付蛋白 |
起始样本:
1.目的基因序列信息。
2.目的基因模板质粒:提供1-5μg质粒,抗性信息。
3.目的基因模板新鲜菌液/甘油菌:确保菌的活性、无污染,抗性信息。
案例展示
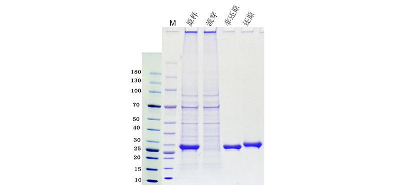
将目的基因的序列构建至自主研发的双标签纯化质粒中进行293细胞表达,两步亲和纯化,目的蛋白SDS-PAGE电泳纯度≥95%。

图1.双标签纯化体系SDS-PAGE电泳
| 产量(mg/L) | SDS-PAGE (%) | Endotoxin (EU/mg) |
|---|---|---|
| 150 | >95% | <2EU/mg |
立即咨询哺乳动物细胞表达服务
请填写以下信息,我们将在24小时内和您联系。

在线询价


