兔多克隆抗体定制服务
在兔子体内进行多克隆抗体生产是一种经济有效的方法。多克隆抗体是指由多种免疫细胞产生的针对特定抗原的抗体群体,与单克隆抗体相比,多克隆抗体可以识别抗原的多个表位。将免疫原通过一些特定的佐剂活化后进行新西兰兔免疫,并通过纯化获得的多克隆抗体。
服务优势

多种类型抗原靶点开发经验,可提供高质量的免疫原制备服务,包括多肽的合成和重组抗原的制备。

高效价的抗原免疫方案,独特的佐剂和载体蛋白系统,适用于多种抗原,显著增强免疫原性。

拥有经验丰富的抗体开发技术团队,提供全套的抗原和抗体服务。
兔多克隆抗体开发流程

抗原制备

动物免疫

采血

多抗纯化
兔多克隆抗体定制
| 阶段 | 服务内容 | 周期 | 交付物 |
|---|---|---|---|
| 阶段1 抗原制备(可选) | 蛋白或多肽 | 2-4周 | 200μg可溶性蛋白,>90%纯度或1mg多肽,>90%纯度 |
| 阶段2 动物免疫 | 2只新西兰兔,常规4次免疫 | 6-8周 | 1-2ml免前血清;免疫血清ELISA报告 |
| 阶段3 多抗纯化 | 收集抗血清,进行蛋白A/G或抗原亲和纯化获得高纯度抗体 | 1-2周 | 2-10mg纯化抗体 |
| 阶段4 QC | ELISA检测抗体效价 | 1周 | 详细的抗体制备报告;质量检验报告 (CoA) |
| 总计 | 2-4个月 |
案例展示
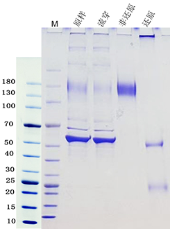
将免疫原经佐剂乳化后注射至兔皮下,四次免疫后取血清检测效价,如图1所示,血清效价> 10W;通过抗原亲和纯化得到兔血清,图2表明兔多抗SDS-PAGE电泳纯度≥90%;最后通过ELISA和WB进行兔多抗活性表征, ELISA结果显示兔多抗活性较高, EC50=0.0029μg/ml (图3左) ,同时WB能够检测到内源性的目的蛋白(图3右)。

图1.兔四免后血清效价检测图

图2.兔多抗纯化后的SDS-PAGE电泳图

图3.纯化后兔多抗EC50结果

图4.纯化后兔多抗的WB检测图
立即咨询兔多克隆抗体定制服务
请填写以下信息,我们将在24小时内和您联系。

在线询价


